TRAUMA ABDOMINAL*
Son lesiones en la cavidad abdominal y el retroperitoneo debidas a un agente externo violento. Se puede clasificar en abierto y cerrado.
Las principales lesiones en su orden son:
- Trauma esplénico (el primer órgano abdominal más frecuentemente lesionado)-
- Trauma hepático (el segundo órgano abdominal más frecuentemente lesionado).
- Trauma renal (el órgano extraperitoneal más frecuentemente lesionado).
- Traumatismo pancreático (principalmente en HACP y pancreatitis en niños maltratados físicamente).
- Trauma gastrointestinal, en el orden de yeyuno, duodeno, colon ascendente a nivel de la válvula ileocecal, siendo el colon descendente el menos afectado.
- Vesícula biliar.
- Uréter.
- Estómago.
- Cápsulas suprarrenales.
- Trauma vascular, de aorta abdominal, vena cava inferior, vasos renales, tronco celiaco, vasos mesentéricos superiores, vasos lumbares y vasos iliacos.
- Trauma de pared abdominal.
- Ruptura diafragmática.
- Hemorragia retroperitoneal.
- Complejo de hipoperfusión.
El hallazgo más común es el hemoperitoneo que se visualiza en la TCMC como líquido intraabdominal hiperdenso (color oscuro en señal potenciada tipo T1 con coeficiente de atenuación de UH similar al agua o sea más oscura que el coeficiente de atenuación de víscera maciza como hígado).
Independientemente del órgano lesionado se debe buscar en la TCMC compromiso de estructuras adyacentes como fracturas costales y hemoperitoneo.
Cuando en trauma cerrado de abdomen se lesiona el hígado en un 45% de los casos también se lesiona el bazo. Los desgarros hepáticos, que se ven como zonas hipodensas en el parénquima, casi siempre son paralelos a las arterias hepáticas.
Las lesiones renales se dan en el 8 a 10% de los traumas cerrados de abdomen y se encuentra frecuentemente la hematuria incluso en lesiones menores. Se debe evaluar la integridad del hilio y los uréteres.
Las lesiones del TGI se dan en el 5% de los casos de trauma cerrado de abdomen.
La lesión de páncreas se da principalmente en el trauma penetrante y en pancreatitis por niño maltratado (afectándose principalmente la zona del cuello o istmo pancreático).
TRAUMA ABDOMINAL POR HERIDA DE ARMA CORTOPUNZANTE (HACP)*
I).- HACP EN REGION TORACOABDOMINAL IZQUIERDA (HERIDA DIAFRAGMÁTICA):
La zona de riesgo para lesión de diafragma por HACP es la región tóracoabdominal, área comprendida en la parte anterior entre la línea horizontal trazada a nivel de las tetillas y los rebordes costales y a nivel posterior corresponde al área localizada por debajo de la línea trazada a nivel de los ángulos inferiores de las escápulas (T7) y hasta el borde inferior de la costilla 12.
La importancia de la herida en diafragma se da en el lado izquierdo porque de no corregirse se formará una hernia diafragmática (donde se introducen asas intestinales), cosa que no ocurre al lado derecho porque el hígado se interpone y tapa la hernia.
A).DIAGNÓSTICO DE LA HACP EN REGION TORACOABDOMINAL IZQUIERDA.
1).- Historia clínica en herida diafragmática por HACP:
1.1).- Anamnesis (MC+ EA+AF+AP)
1.2).- Examen físico:
Exploración digital:
- Para evaluar la integridad del diafragma.
- Tiene S: 96%, E: 83%, VPP: 91%, y VPN: 93%.
- Desventaja: requiere experiencia para detectarlo y es dolorosa para el paciente (requiere sedación).
2).- Laboratorios clínicos, imágenes y otras ayudas diagnósticas.
No tiene utilidad laboratorios, ni Rx, ni US, ni TC.
Otras ayudas diagnósticas:
a).- Laparoscopia (LPRC):
- Tiene S: 83% y E: 100%,
- Ventaja: es que disminuyen las laparotomías (LPRT) no terapéuticas y puede corregirse la lesión con la misma laparoscopia (LPRC).
- Desventaja: al haber herida al hacer el neumoperitoneo para la exploración ocasiona un neumotórax a tensión (debe insuflarse con la cantidad adecuada).
b).- Toracoscopia:
Tiene una S: 100% y E: 97%.
- Ventaja: Visualiza el diafragma (el pulmón debe estar colapsado), se puede corregir la herida, no requiere CO2, puede corregir otras heridas del tórax.
- Desventaja: Que el paciente debe estar preparado con por lo menos 8 horas con ayuno debido a que requiere anestesia general y la intubación es difícil porque toca hacerla con doble tubo por cuanto se debe colapsar el pulmón del hemitórax a evaluar (que es el izquierdo); otra desventaja es que si se detecta la lesión del diafragma luego toca hacer laparoscopia o laparotomía para estar seguro que no hay lesión de víscera (entonces son dos procedimientos que toca hacer) por eso es buena alternativa en casos de más de 12 horas de evolución donde no hay SIP.
c).- LPRT diagnóstica – terapéutica:
Otras escuelas no hacen valoraciones sino que operan a todo paciente con HACP en área toracoabdominal.
B).- TRATAMIENTO DE HACP EN REGION TORACOABDOMINAL IZQUIERDA:
Siempre la herida diafragmática izquierda es indicación de cirugía.
II).- HACP EN REGION ANTERIOR DE ABDOMEN:
A).DIAGNÓSTICO DE LA HACP EN REGION ANTERIOR DE ABDOMEN.
1).- Historia clínica en herida diafragmática por HACP:
1.1).- Anamnesis (MC+ EA+AF+AP)
1.2).- Examen físico:
En caso que la HACP en abdomen anterior no presente evisceración o salida de contenido del TGI (contenido gástrico, intestinal, stool) u orina, o no presente sangrado por orificios naturales (hematemesis, hematoquecia, hematuria franca) se debe realizar la exploración digital con el fin de clasificar en penetrante o no penetrante.
a).- Penetrantes. Son las que lesionan el peritoneo haciendo que pierda su integridad. Cuando la herida es en abdomen anterior se hace el diagnóstico por medio de la exploración digital, lo cual se reconoce por el ingreso del dedo en la cavidad peritoneal; no tiene por función reconocer si hay órganos lesionados.
b).- No penetrantes. No interesa el peritoneo.
El EF repetido en abdomen anterior (o sea excepto dorso y flanco) por herida de arma blanca penetrante tiene una S: 91%, una E: 85%, un VPP: del 92% y un VPN: del 83% para identificar cuando requiere cirugía de urgencia.
El 30% de los TA por herida penetrante en abdomen no presentan hallazgos que indiquen la necesidad de cirugía (falsos negativos) y al contrario un 30% de los pacientes de los pacientes con TA no penetrante tienen falsos positivos para cirugía de urgencia.
Hasta un 10% de los casos no se diagnostican las lesiones al ingreso del paciente.
2).- Laboratorios clínicos, imágenes y otras ayudas diagnósticas.
La Rx abdominal no tiene indicación en la HACP en abdomen. Solo evidenciaría un neumoperitoneo (si se toma de pie) pero no es criterio de cirugía. Puede también identificar una hematoma grande lo cual se evidencia con el borramiento del psoas (si es retroperitoneal) o con el desplazamiento de las asas intestinales (si es intraperitoneal).
La US abdominal tampoco está indicada en HACP, porque solo identifica el hemoperitoneo, pero tampoco es criterio de cirugía porque el hemoperitoneo puede ser por el trauma de la herida (rotura de vasos) y no por lesión de órganos.
Tienen una S: 46%, E: 94% VPP 90%, VPN 59%.
TCMC en caso que el paciente con HACP esté estable pero a la exploración física se evidencie perforación de peritoneo (por exploración digital).
B).TRATAMIENTO DE LA HACP EN REGION ANTERIOR DE ABDOMEN.
En HACP en el abdomen anterior no penetrante no es necesario hospitalizar al paciente, se puede dar salida, sin antibióticos, solo esquema de vacunación para tétanos.
Si la HACP en el abdomen anterior es penetrante se debe definir si se hace cirugía de urgencia o se deja en observación, siendo que las indicaciones de cirugía de urgencias (laparotomía) son:
- Choque hipovolémico sin que sea evidente otra causa.
- Evisceración (excepto la exposición de un epiplón o epiplocele, la cual la conducta inicial es lavado + cortar el epiplón el epiplón que esté contaminado + hemostasia + introducir el epiplón + suturar herida + conducta expectante para identificar tempranamente SIP).
- Contenido gastrointestinal, bilis, stool u orina en la herida.
- Sangrado por orificios naturales (hematuria, hematemesis, hematoquecia).
- Signos de irritación peritoneal (SIP) o sea el llamado abdomen positivo, pero se debe evaluar los SIP luego de que se haya canalizado vena y esté atendido el paciente, con el fin de disminuir el grado de tensión y ansiedad del paciente (5 a 10 minutos del ingreso), de lo contrario es posible falsos positivos.
Cuando la laparotomía se hacía en forma “rutinaria” hasta un 20% de las realizadas resultaban no terapéuticas (“en blanco”).
Una laparotomía tiene un 20% de morbilidad tales como evisceraciones, atelectasias, adherencias intestinales
COMPLICACIONES:
III).- HACP EN REGION POSTERIOR Y FLANCO DE ABDOMEN:
A).DIAGNÓSTICO DE LA HACP EN REGION POSTERIOR Y FLANCO DE ABDOMEN.
1).- Historia clínica en herida diafragmática por HACP:
1.1).- Anamnesis (MC+ EA+AF+AP)
1.2).- Examen físico:
En las heridas de los flancos y posterior no se exploran digitalmente (los planos musculares gruesos impiden realizarlo), por tanto toda HACP en esta zona se clasifica como penetrante.
El EF de HACP en dorso y flanco no se exploran digitalmente (mucha masa muscular) y por tanto siempre se consideran penetrante, porque en estos casos el examen digital solo tiene una S: 90% y una E: 67 a 82%.
El 30% de los TA por herida penetrante en abdomen no presentan hallazgos que indiquen la necesidad de cirugía (falsos negativos) y al contrario un 30% de los pacientes de los pacientes con TA no penetrante tienen falsos positivos para cirugía de urgencia.
2).- Laboratorio clínico, imágenes y otros medios diagnósticos:
TCMC con igual indicación de HACP en abdomen anterior o sea en paciente con HACP en flanco o posterior estable sin indicación de cirugía de emergencia, porque todas las HACP en región posterior o flanco se consideran penetrantes.
B).TRATAMIENTO DE LA HACP EN REGION POSTERIOR Y FLANCO DE ABDOMEN.
En sospecha lesión de hígado: EF seriado, TCMC y si es positivo angiograma con embolización.
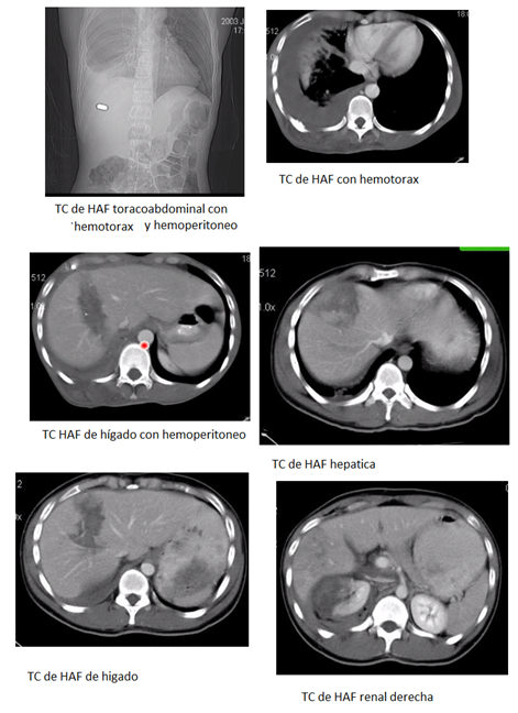
TRAUMA DE ABDOMEN POR HERIDA DE ARMA DE FUEGO (HAF)*:
Todas son quirúrgicas excepto:
- Heridas tangenciales que no ingresaron a peritoneo (entran y salen o se queda en solo músculo).
- Trayecto extraperitoneal (glúteo etcétera).
- Penetrante pero sin lesión de víscera.
- Penetrante con lesión de víscera maciza sin indicación de Cx por estar estable.
TCMC:
Con igual indicación de las HACP anteriores y en flanco o sea en HAF estable sin indicación de cirugía de emergencia, porque todas se consideran penetrantes (a no ser que la trayectoria del orificio de entrada y salida demuestre lo contrario).
Tiene S: 96.4%, E: 94.7%, VPP: 96.4 VPN: 94.7
LA US ABDOMINAL NO ESTA INDICADA EN HAF, porque solo identifica el hemoperitoneo, pero tampoco es criterio de cirugía porque el hemoperitoneo puede ser por el trauma de la herida (rotura de vasos) y no por lesión de órganos.
Tienen una S: 46%, E: 94% VPP 92%, VPN 59%.

RESUMEN DE GUIA DE TRATAMIENTO EN TRAUMA ABIERTO
- Todo Paciente inestable con SIP debe operarse.
- Pacientes con dificultad para la evaluación (TCE, intoxicación, lesión medular) debe operarse o mínimo un TC3MC.
- Paciente sin indicación de cirugía inmediata se debe tomar TC3MC
TRAUMA CERRADO DE ABDOMEN (TCA)*
Los órganos más afectados son en su orden:
- Bazo.
- Hígado (sea asocia a lesión del bazo en el 45% de los casos).
- Riñón (8 al 10% de los casos) asociándose a hematuria incluso en casos leves. Debe descartase lesión de uréteres e hílio.
- TGI (5% de los casos).
- Páncreas (principalmente en casos de pancreatitis en niños maltratados físicamente).
A).DIAGNÓSTICO DEL TCA.
1).- Historia clínica en herida diafragmática por HACP:
1.1).- Anamnesis (MC+ EA+AF+AP)
Los factores de riesgo (sean lesiones o situaciones) que nos deben hacer pensar en que el paciente tiene un trauma cerrado de abdomen (TCA) son:
1.- Accidente automovilístico con choque a más de 60 Km/hora.
2.- Salida o expulsión de un vehículo en movimiento.
3.- Accidente en moto.
2.- Caída de más de 3 mt de altura.
4.- TCE
5.- Lesión de columna.
6.- Fractura de 1 costilla
7.- Fractura de costillas inferiores.
8.- Fractura de un hueso mayor.
Los accidentes automovilísticos causan el 75% de los traumas de abdomen.
Dependiendo el lado del trauma es más probable la lesión de ciertos órganos:
Trauma derecho: Lesión de hígado.
Trauma izquierdo: Lesión de diafragma, esófago, estómago, colon trasverso y bazo.
Trauma anterior:
Trauma de flancos o espalda: lesión de órganos retroperioneales (columna, grandes vasos, riñones, uréteres).
1.2).- Examen físico:
En TCA el examen físico es muy difícil realizarlo en personas con un Glasgow menor de 10, con lesión medular, con fractura de pelvis y en embarazo.
Signos vitales: estabilidad hemodinámica (E.HMDNM)
Lo que determina la conducta en el trauma cerrado es la estabilidad hemodinámica del paciente, cuyo parámetro más básico y rápido de medir es la PAS o PAM siendo que se considera inestable cunado la PAS es menor de 90 mmHg de PAS o PAM menor de 60 mmHg, siempre y cuando no responda a fluidoterapia con cristaloides.
2).- Laboratorios clínicos, imágenes y otras ayudas diagnósticas.
a).- Rx no tienen utilidad.
b).- US Abdominal Focalizado o FAST (en inglés Focused Assessment with Sonography in Trauma).
Evalúa la presencia de sangre en espacios subfrénicos derecho (entre el diafragma y el lóbulo derecho del hígado), espacio subfrénico izquierdo (entre el diafragma y el lóbulo izquierdo del hígado + estómago + bazo) y pelvis. La presencia de sangre indica lesión visceral pero no es criterio quirúrgico siempre.
Indicación:
- Paciente con HC de sospecha de trauma cerrado de abdomen (TCA) pero que no presenta SIP en primeras horas de atención; corresponde al 20 al 25% de los pacientes con hemoperitoneo no presentan síntomas en los primeras horas de acontecido el trauma.
- Paciente con HC de sospecha de trauma cerrado de abdomen (TCA) con alteración del nivel de conciencia, lo cual les impide expresar dolor o síntomas subjetivos.
Tiene una S: aproximada del 90% (entre el 75 al 95%) con E: 95% (entre el 88 y el 100%).
Dependiendo de los hallazgos del FAST se debe actuar así:
1).- Prueba positiva + paciente instable = laparotomía.
2).- Prueba positiva + paciente no responde = laparotomía.
3).- Prueba positiva + paciente estable = TC3MC para confirmar diagnóstico.
4).- Prueba negativa + paciente inestable = buscar rápidamente otra causa de inestabilidad.
5).- Prueba negativa + paciente estable = Repetir en 6 horas si no hay indicación para TC3MC.
Las desventajas del FAST son:
- Operador dependiente (como todos los US).
- Escasa caracterización de víscera sólida.
- No valora lesiones diferentes al hemoperitoneo.
- No valora el retroperitoneo, por tanto no valora lesión de columna, fractura de pelvis, ni lesión torácica.
c).- TC3MC:
Indicación:
- Paciente con TCA estable sin indicaciones de laparotomía de emergencia pero que al examen físico sugiere lesión de víscera (SIP, sangrado por orificio natural o dolor persistente).
- Paciente con TCA estable sin indicación de laparotomía de emergencia con FAST positivo.
- Paciente con TCA en tratamiento no operativo con deterioro del hematocrito (anemización).
- Paciente con TCA grado IV y V antes del alta.
La TC con triple contraste (oral, intravenoso y rectal) tiene una E del 92 al 98% para la mayoría de los órganos excepto para lesiones intestinales (muy poca sensibilidad), diafragmáticas y pancreáticas. Se debe considera la posibilidad del vasoespasmo al momento del estudio, lo cual obligaría a otro TC más tarde.
En paciente con TCA pero que se encuentra estable y no posee signos de irritación peritoneal al examen físico, se debe repetir el examen cada 6 horas y al detectar alguna sospecha se debe solicitar FAST, TC abdominal o realizar LPD.
d).- Lavado Peritoneal Diagnóstico (LPD):
Indicaciones:
Las mismas del FAST, entonces solo se realiza si no se tiene la posibilidad de realizar el FAST o sea es un procedimiento diagnóstico con más importancia histórica que clínica. Sin embargo el LPD es sensible en el 98% de los casos cuando se aspira más de 10 cc de sangre y el FAST es sensible en 75 al 95% de los casos. Al igual que el FAST una desventaja del LPD es que no valora retroperitoneo. El LPD se puede realizar con dos técnicas, la primera llamada cerrada (para lo cual ya existe un kit de equipos) y la prueba abierta. El LPD por la técnica cerrada se realiza así: a) Colocar sonda NSG y vesical para descomprimir el estómago, b) Asepsia y antisepsia + campos estériles, c) Infiltrar anestesia local con Lidocaína sin epinefrina en la línea media debajo del ombligo tanto a piel como a TCS, d) Insertar aguja N° 18 biselada montada sobre jeringa que atraviese piel, TCS, la fascia anterior (se sabe que pasó la aponeurosis por la resistencia que ofrece) y luego se atraviesa el peritoneo, dirigiéndola hacia la pelvis mayor con el fin de evitar lesionar la aorta (recordemos que la bifurcación de la aorta está justo en este lugar debajo del ombligo); solo se insertará encima del ombligo si se sospecha una fractura pélvica porque nos daría un falso positivo al subirse el retroperitóneo; en pacientes embarazada igualmente se hace por encima del ombligo e) retirar la jeringa y dejar a aguja, f) Pasar la guía de alambre o cuerda de piano a través de la aguja hasta que encuentre resistencia o hasta que sean visibles solo 3 cm de la guía de alambre fuera de la aguja, g) retirar la aguja de la cavidad abdominal sosteniendo la guía para que permanezca dentro del abdomen, h) realizar una pequeña incisión en la piel con un bisturí (2 mm aproximadamente) a nivel de la inserción de la guía para poder ingresar mejor el dilatador, i) Introducir un dilatador utilizando la guía de alambre, realizando movimientos circulares para que ingrese como atornillado, asegúrese de tener más longitud la guía de alambre que el dilatador para evitar que se pierda dentro de éste j) Luego de insertado totalmente y haber “dilatado” el canal por donde transcurre la guía de alambre retírelo teniendo precaución de no permitir la salida de la guía de alambre, k) Introducir el catéter de LPD en lugar del dilatador que se retiró utilizando la guía en la misma forma que lo hizo con el dilatador en forma de “atornillado”, recordemos que el catéter de LPD debe tener fenestraciones laterales, , asegúrese de tener más longitud la guía de alambre que del catéter del LPD para evitar que se pierda dentro de éste y no la pueda retirar l) Luego de estar totalmente introducido el catéter de LPD se retira la guía dejando solo el catéter m) Conectar el catéter de LPD a una jeringa y aspirar, si se aspira sangre en una cantidad mayor a 5 cm se considera positiva la prueba; m) en caso de no obtener sangre mediante la aspiración continuamos con la prueba y para tal efecto se introduce con un con equipo de venoclisis aproximadamente de 500 - 1.000 de SSN tibia, para evitar desencadenar una hipotermia, (el volumen a colocar depende del tamaño del paciente a razón de 10cc/Kg), previa purga de la vía para evitar introducir aire a la cavidad abdominal. Tener precaución de dejar SSN en la bolsa para que después induzca el drenaje por gravedad, si está totalmente vacía no lo hará (recordemos sacar gasolina de un carro), n) Realizar movimientos suaves en abdomen para que el líquido se distribuya y de haber sangre en cavidad se mezclen ñ) descender el equipo de venoclisis por debajo del nivel del paciente para que drene por gravedad o) Si hay sangre en el drenaje en forma macroscópica se considera positiva la prueba para hemorragia peritoneal, en caso de no ser visible se envía a laboratorio para descartar y se considera que es positiva si tiene más de 100.000 GR o más de 500 leucocitos por cm3 ( o lo que es lo mismo más de 10.000 Gr/mm3 o 50 WDB/mm3). También se considera positiva la prueba de LPD si hay contenido intestinal o fluidos con partículas. p) luego retirar el catéter de LPD. (tutorial https://www.youtube.com/watch?v=sk07g2Yfw4k) . El LPD está contraindicado en cirugía abdominal reciente, heridas por arma de fuego o distención exagerada de abdomen (porque en estos casos la cirugía es la opción necesaria), solo se indica cuando hay dudas si hay sangrado pero no se está seguro, como en casos de pacientes inconscientes o bajo efectos de drogas o alcohol, porque a pesar de estar muy grave, choqueado y seguramente con mucho dolor no lo puede expresar. https://www.youtube.com/watch?v=d43scV6jhcs.
B).- TRATAMIENTO DEL TRAUMA CERRADO DE ABDOMEN:
1).- Tratamiento del trauma de abdomen cerrado no operatorio:
Los criterios para incluirlos son:
- Estabilidad hemodinámica (PAS mayor a 90 mmHg).
- Ausencia de signos de irritación peritoneal (SIP)
- Ausencia de lesiones intraabdominales asociadas
- Demostración precisa de lesión que estamos tratando en forma no operatoria lo cual se hace por TC (por eso debe tratarse en un centro que tenga TC)
- Clasificación del grado de la lesión que se está tratando en forma no operatoria.
- Necesidad inferior a 2 bolsas de sangre.
Donde se vaya a manejar un paciente con TCA de manera no quirúrgica se debe disponer de:
- Equipo interdisciplinario de 24 horas, incluyendo equipo quirúrgico disponible.
- US y TC
- Laboratorio y banco de sangre 24 horas.
Por TC se realiza la clasificación del grado del TCA por evaluación de cavidades con el fin de definir el ámbito de hospitalización del paciente, así:
- Trauma grado I a III debe manejarse en UCE
- Trauma grado IV y V debe manejarse en UCI
Cuando hay TCA con hemoperitoneo pero no se demuestra lesión de víscera maciza con el TCMC ni de víscera hueca por lo general es una avulsión del mesenterio y eso es grave porque se necrosan las asas intestinales y es indicación de laparotomía urgente.
Reiniciar vía oral en UCE a las 24 horas.
Reposo relativo.
En los grados IV y V debe tomarse TC antes del alta.
Incapacidad en niños es el grado de clasificación del TCA + 1 semana.
Incapacidad en adulto no está claro porque depende de la actividad, pero retorno a actividades en 3 a 4 semanas.
LAS COMPLICACIONES DEL TTO NO QUIRURGICO SON:
- abscesos hepáticos.
- Hematomas sobreinfectados.
- Sangrado tardío.
- NAV
- Bacteriemia.
El tratamiento de estas lesiones son laparoscopia.
